M. Bernath & J. Szabo.
Department of Dentistry and Oral Surgery, Faculty of Medicine, Pecs University, Pecs, Hungary.
Periapical tissue reaction after root canal treatment and/or obturation may be influenced by various factors, including pre-existing disease, elimination of pulp tissue, shaping and cleaning of the root canal system, bacterial infection, filling technique and chemical nature of the sealer (Block et al. 1976; 1985, Taintor et al. 1979, Moller et al. 1981, Walton & Torabinejad 1989, Odesjoet al. 1990). The tissue reaction initiated by sealers can be tested by the analysis of root canal treatment failures in humans (Block et al.1976;1985), but these observations do not meet the requirements of objective nonbiased testing (Pascon et al.1991). To gain valuable information about the tissue reaction of root canal filling and select the appropriate sealer, the sealers should be tested in animal models. Nonhuman primates provide the best animal model for these studies because the anatomy of the teeth and the periradicular tissues are similar to those of humans, and the commonly available endodontic instruments for human teeth and filling materials can be used without modification (Pascon et al.1991).
The number of studies that have evaluated the tissue reactions after root canal filling in nonhuman primates are limited and some of the results are conflicting. Pascon et al. (1991) compared the sealers of Kloroperka N.C. (Union Broach Corp., Long Island City, NY, USA), Kerr Pulp Canal sealer (Rickert modified, Sybron/Kerr, Romulus,MI, USA) and AH26 (DeTrey Dentsply, Zurich, Switzerland) in baboons, and found that the severity of periapical tissue reactions varied between materials. In contrast, Crstavik & Mjor (1992) used AH26 (DeTrey AG, Zurich, Switzerland), Endomethasone (Septodont, Paris, France), Kloroperka N-C (NC Therapeutics, Oslo, Norway) and ProcoSol (Star Dental, Conshohocken, PA, USA) in Macaca fascicularis, but found no differences in tissue reactions caused by the endodontic materials. Finally, calcium hydroxide sealers had been tested in rats, dogs and monkeys, but the tissue reactions initiated by these sealers were different (Pitt Ford & Rowe 1989, Tagger & Tagger 1989, Leonardo et al. 1997, Maita et al. 1998, Lupa et al.1999).
The aim of this study was to analyse the tissue reactions of the calciumhydroxide sealer Apexit and to compare it with the reactions of sealers with different chemical compositions (Endomethasone, AH26 and Grossman’s sealer).
Materials and methods.
Animals.
Two adult M. mulatta monkeys with full permanent dentitions were used. The animals were born and kept in a monkey colony of the Institute of Psychology, Hungarian Academy of Sciences (Budapest). A few weeks before the experiments, the animals were transported and kept in Pecs in the animal house of the Department of Physiology, Faculty of Medicine, Pecs University. The facility is in compliance with applicable US and Hungarian regulations and has a complete 24 h veterinary service. Animal housing, care and the application of experimental procedures were in accordance with the‘Principles of Laboratory Animal Care’ (NIH publication No. 86-23, revised 1985) and the institutional guidelines under an approved protocol. These animals were otherwise experimentally na|ve and were used for neurologic studies. The modified ‘Endodontic Usage Test’ (ISO/TR 7405) (Crstavik & Mjor 1992) was used where the anterior teeth, maxillary premolars and the palatal roots of maxillary molars and the distal roots of mandibular molars were included. Maxillary second premolars were used for over instrumentation and overfilling. Maxillary first premolars were perforated and overfilled at the furcation area. Thus, there were 60 root canals and 4 perforations treated in this study.
Root canal preparation.
The animals were treated under general anaesthesia. The teeth were isolated with rubber dam and the operation area was disinfected with 30% hydrogen peroxide and 5%tincture of iodine. The pulp chamber was opened and the working length was determined radiographically (Trophy Oramatic 708, Vincennes, France). Root canal enlargement was completed using an instrument two sizes greater than the first one that was engaged at length. During instrumentation, each canal was rinsed repeatedly with 0.5% sodium hypochlorite solution. Preparation was completed by ultrasonic cleaning (Cavi- Endo, Dentsply, Milford, DE, USA) for 2 min using 0.5% sodium hypochlorite solution and flushed with sterile physiological saline solution. Overinstrumentation of second premolars was taken 2 mm beyond the radiological apex with Flex-o-files (Maillefer, Ballaigues, Switzerland). The furcal perforations of the first premolars were carried out with sterile 0.8 mm diameter tungsten carbide fissure burs (Maillefer, Ballaigues, Switzerland) extended through the floor of the pulp chamber.
Root canal filling.
The root canals were dried with sterile paper points. The lateral condensation technique was used to fill the canals with standardized and accessory gutta-percha points and AH26 (Dentsply De Trey, Zurich, Switzerland), Apexit (Vivadent, Schaan, Liechtenstein), Endomethasone (Septodont, Saint-Maur, France) or Grossman’s (Sultan Chemists, Englewood, NJ, USA) sealer. The sealers were placed in the canals with sterile K-files. Master gutta-percha points were inserted into the canals to the predetermined length and were condensed with finger spreaders (Kerr Manufacturing Company, Detroit, MI, USA). Sufficient number of accessory gutta-percha points were used to obliterate the canal. In over-instrumented canals, master gutta-percha points were inserted to the radiographically determined working length, and lateral condensation was carried out. No gutta-percha points were inserted into the apical perforations. In cases with furcal perforations, the lateral condensation technique was used to fill the canals. No gutta-percha points were inserted into the perforations. Sealers were used to fill the perforations, and a small portion of zinc-oxide-eugenol cement (Caryosan, Spofa Dental, Praha, Czech Republic) was placed over the sealers. In all cases, the crowns were filled with amalgam (Goodfill 430 NG2,Ogussa Dental, Wien, Austria).
Histology.
Animals were observed over a 6-month period. On sacrifice, fixation in buffered neutral formaldehyde was completed by perfusion of the ascending aorta. The mandible and maxilla were stored in buffered neutral formaldehyde following the removal of soft tissues. Tissue blocks were demineralized, embedded in paraffin and axially oriented serial sections were made. Slices were alternatively stained by haematoxilin and eosin, and haematoxilin and Gram.
Histopathology.
The type of tissue reaction was determined based on the infiltration of inflammatory cells within the periapical tissue. Four types of tissue reactions were determined including suppurative (polymorphonucleic leucocytes), chronic lymphocytic/plasmocytic (lymphocytes and plasma cells), granulomatous (epitheloid and multinucleated giant cells) and necrotic (tissue necrosis). The degree of inflammation was rated according to the criteria described previously (Crstavik &Mjor1992) as mild (few scattered inflammatory cells), moderate (focal accumulation of inflammatory cells without tissue necrosis) and severe (dense infiltration of inflammatory cells, external root resorptionand/orosteolysis with necrosis).
Results.
Sixty root canals and four furcal perforations with associated tissues were histologically evaluated. Thirty-one were excluded because the histologic sections failed to provide a minimum 2.0 mm of periapical tissue or were not longitudinally sectioned. A further case was also excluded from the study because Gramstaining revealed microbial infection in the periapical tissue. The histological scoring system was applied on 24 correctly filled root canals, on eight perforated and overfilled canals and teeth with furcal perforations. The results of histological reactions are summarized in Table 1 and representative examples are demonstrated in Figs 1 and 2.
Table 1. Periapical tissue reactions in Macaca mulatta initiated by four different root canal sealers.

AH26.
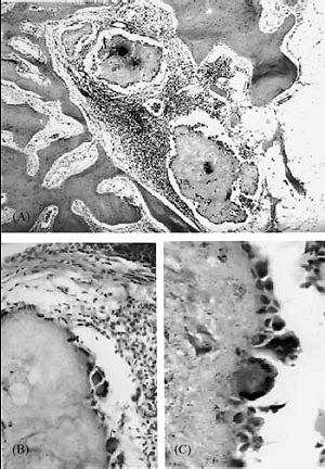
Seven root canals were filled within the canal, and two were overfilledwithAH26. In five of the root fillings con fined to the canal, no inflammatory reaction was detected, and in two cases mild lymphocytic/plasmocytic infiltration was seen. In the two overfilled cases, moderate lymphocytic/plasmocytic and granulomatous infiltration was observed around the sealer. Extracellular sealer particles were detected at the centre of the inflammatory reaction. Sealer particles were also seen in the peripheral zones of the inflammation, but in this region all the sealer particles were in the cytoplasm of macrophages. The inflammatory reaction contained no foreign body giant cells (Fig.1).
Figure 1. Periapical tissue reaction in root canal over filled with AH26.
(A) Lymphocyte, plasmacell and macrophage infiltration around sealer particles.
(B) Surplus sealer particles are surrounded by lymphocytes, plasmacells and macrophages.
(C) Peripheral parts of the inflammatory.

Apexit.
Four root canals were filled within the canal system and two were overfilled with Apexit. No inflammatory reaction was observed in the periapical tissues of the cases with no overfilling. In one of the overfilled cases, mild lymphocytic/plasmocytic reaction was detected around the sealer without foreign body giant cells (not shown).
Endomethasone.
Nine root canals were filled with in the root canal system and two were overfilled with Endomethasone. In six of the nine cases without overfilling, no inflammatory tissue reaction was detected. In three additional cases, mild lymphocytic/plasmocytic infiltration was observed. In both the cases that were overfilled with Endomethasone, moderate to severe lymphocytic/plasmocytic infiltration and granulomatous reaction around the sealer particles were detected. In the granulomatous reaction, epitheloid and foreign body-type giant cells sharply demarcated the sealer particles from the periapical tissue (Fig. 2).
Figure 2. Periapical tissue reaction in root canal over filled with Endomethason.
(A) Lymphocytic/plasmocytic and giant cell infiltration around sealer particles.
(B, C) Foreign body giant cells and epitheloid cells separate the sealer from the periapical tissue.

Grossman’s sealer.
Four root canals were filled within the canal system and two root canals were overfilled with Grossman’s sealer. In the cases without overfilling, no inflammatory reaction was detected. In both the overfilled cases, mild to moderate lymphocytic/plasmocytic reaction was observed around the sealer (not shown).
Discussion.
The study of different sealers in non human primates provides in vivo evidence of tissue reactions. In this study, four chemically different sealers were tested in 30 root canals of M. mulatta monkeys. Fillings were performed within the canals or roots were perforated and overfilled to compare the direct and indirect tissue reactions initiated by the four sealers. In canals without overfilling with Apexit and Grossman’s sealers, no periapical tissue reactions were detected, which suggests good tissue compatibility of these sealers.
In six root canals filled with Endomethasone, no inflammatory reaction was detected; however, in the other three cases, Endomethasone initiated chronic lymphocytic/ plasmocytic infiltration. The occurrence of periapical inflammatory reactions initiated by Endomethasone in correctly filled root canals has already been demonstrated in nonhuman primates (Crstavik & Mjor1992). Because sealers within the canal have minimal direct contact with the periapical tissue through the apical foramen, the periapical tissue injury may be related to the release of a certain component of the sealer rather than to direct toxicity. Vajrabhaya & Sithisarn (1997) and Leonardo et al. (1999) suggested that the chemical nature of Endomethasone could be responsible for the inflammatory reaction because the paraformaldehyde content of the sealer was relatively high and it released formaldehyde after setting. The tissue reactions initiated by Endomethasone in overfilled root canals were completely different. Endomethasone initiated a foreign body-type granulomatous reaction where giant cells and epitheloid cells were apposed to the surface and encompassed the sealer. Because sealer particles were not present in the macrophages, it seemed that Endomethasone particles were large enough to preclude phagocytosis by a single macrophage and therefore the giant cells demarcated them from the periapical tissue. This finding suggests that Endomethasone is a relatively inert foreign body that initiates granulomatous reaction. From these observations it seems that Endomethasone initiates inflammatory reactions through multiple pathways. It is possible that Endomethasone has a toxic effect based on the paraformaldehyde content and initiates a chronic granulomatous reaction based on the foreign body nature of the sealer.
AH26 also initiated a chronic lymphocytic/plasmocytic inflammatory reaction around two of the seven properly filled root canals, but neither granulomatous nor necrotic tissue reaction was associated with the inflammation. It has been demonstrated that AH26 is a relatively cytotoxic sealer (Gerosa et al. 1995, Osorio et al. 1998, Telli et al.1999,Huanget al.2002) as it contains toxic epoxide bisphenol resin (Gerosa et al.1995) and releases formaldehyde during and after setting (Spangberg et al. 1993, Gerosa et al.1995, Leonardo et al.1999). Similar to Endamethasone, AH26 also initiated periapical chronic inflammatory reactions in the overfilled root canals; however, the lymphocytic infiltration did not contain foreign body giant cells.TheAH26 particles were phagocytosed by macrophages and carried to the periphery of the inflammatory reaction. This finding suggests that in the course of time, macrophages may completely clear the sealer from the overfilled area and periapical tissue may heal eventually; however, in a 3-year follow-up period in nonhuman primates (baboon), periapical tissue inflammatory reactions were still detectable when AH26 was used (Pascon et al.1991).
In root canals filled with Grossman’s sealer with in the canal, no inflammatory reaction was detected. In the overfilled cases, mild to moderate lymphocytic/plasmocytic reaction associated with the direct contact of the sealer with the periapical tissue. The lymphocytic/plasmocytic reaction suggested some irritant effect of the sealer, but did not support the results of previous in vitro and animal studies, where high cytotoxicity of the eugenol and instability of zinc oxide-eugenol-type of sealer were demonstrated (Hume 1984,Tagger & Tagger 1986, Yesilsoy et al.1988, Araki et al.1993).
No periapical tissue reaction was detected in root canals filled with in the canal with Apexit showing good clinical and histological results, but mild inflammation was seen in an overfilled case. The tissue reaction was restricted to mild lymphocytic/plasmocytic infiltration without macrophages and giant cells. Similar to the present study, no foreign body giant cells were detected in the inflamed area around implanted Apexit in mice (Silva et al.1997). In contrast to the results of the present study, Apexit initiated foreign body giant cell inflammatory reaction in overfilled root canals of dogs and subcutaneous tissue of rats (Leonardo et al. 1997, Kolokouris et al.1998).The results of these studies emphasize the differences among tissue reactions initiated by sealers in different animal models. Apexit initiated giant cell reaction in non primate mammals, but this reaction was absent in primates. The absence of giant cells in cases of Apexit suggests a good tissue biocompatibility of the sealer in nonhuman primates.
In some cases, where root canals were filled with in the canal with AH26 and Endomethasone, inflammatory tissue reactions developed, but in others it was not so. This difference in properly filled canals suggests that other factors may also influence the accomplishment of the root canal filling. However, it has been suggested that inflammatory reaction was reduced when dentine chips were placed into the apical opening of the canal, this did not influence the inflammatory reaction in this study because dentine chips were rinsed out from the canal and they were not detected in the histological screening. It is also possible that these differences were related to nondetected bacterial infections. The Gram staining procedure has limitations to detect infections because most of the suspected endodontic pathogens are Gram-negative bacteria (Sundqvist1990).
References.
Araki K, Suda H, Barbosa SV, Spangberg LSW (1993) Reduced cytotoxicity of a root canal sealer through eugenol substitution. Journal of Endodontics 19, 554-7.
Block R, Bushell A, Rodrigues H, Langeland K (1976) A histopathologic, histobacteriologic, and radiographic study of periapical endodontic surgical specimens. Oral Surgery, Oral Medicine, Oral Patholog y42, 656-78.
Block RM, Pascon EA, Langeland K (1985) Paste technique retreatment study: a clinical, histopathologic, and radiographic evaluation of 50 cases. Oral Surgery, Oral Medicine, Oral Pathology 60, 76-93.
Gerosa R, Menegazzi G, Borin M, Cavalleri G (1995) Cytotoxicity evaluation of six root canal sealers. Journal of Endodontics 24, 446-8.
Huang TH, Yang JJ, Li H, Kao CT (2002) The biocompatibility evaluation of epoxy resin-based root canal sealers invitro. Biomaterials 23, 77-83.
Hume WR (1984) Effect of eugenol on respiration and division in human pulp, mouse fibroblasts, and liver cells in vitro. Journal of Dental Research 63, 1262-5.
Kolokouris I, Economides N, Beltes P, Vlemmas I (1998) In vivo comparison of the biocompatibility of two root canal sealers implanted into the subcutaneous connective tissue of rats. Journal of Endodontics 24, 82-5.
Leonardo MR, Silva LAB, Filho MT, Silva RS (1999) Release of formaldehyde by four endodontic sealers. Oral Surgery, Oral Medicine, Oral Pathology, Oral Radiology and Endodontics 88, 221-5.
Leonardo MR, Silva LAB, Utrilla LS, Assed S, Ether SS (1997) Calcium hydroxide root canal sealers – histopathologic evaluation of apical and periapical repair after endodontic treatment. Journal of Endodontics 23, 428-32.
Lupa ME, Zavala E, Ormaechea MF, Lopez R, Maresca BM, Ubios AM (1999) Tissular reaction to a calcium hydroxide-based endodontic sealer. Journal of Dental Research 78, 933.
Maita EL, Zavala E, Maresca BM, Ubios AM (1998) Periapical reaction to a calcium hydroxide-based endodontic sealer. Journal of Dental Research 77, 1113.
Moller AJR, Fabricius L, Dahlen G, Ohman AE, Heyden G (1981) Influence on periapical tissues of indigenous oral bacteria and necrotic pulp tissue in monkeys. Scandinavian Journal of Dental Research 89, 475-84.
Odesjo B, Hellde L, Salonen L, Langeland K (1990) Prevalence of previous endodontic treatment, technical standard and occurrence of periapical lesions in a randomly selected adult, general population. Endodontics and Dental Traumatology 6, 265-72.
Crstavik D, Mjor IA (1992) Usage test of four endodontic sealers in Macaca fascicularis monkeys. Oral Surgery, Oral Medicine, Oral Pathology 73, 337-44.
Osorio RM, Hefti A,Vertucci FJ, Shawley AL(1998) Cytotoxicity of endodontic materials. Journal of Endodontics 24, 91-6.
Pascon EA, Leonardo MR, Safavi K, Langeland K (1991) Tissue reaction to endodontic materials: methods, criteria, assessment, and observations. Oral Surgery, Oral Medicine, Oral Pathology 72, 222-37.
Pitt Ford TR, Rowe AH (1989) A new root canal sealer based on calcium hydroxide. Journal of Endodontics 15, 286-9.
Silva LAB, Leonardo MR, Faccioli LH, Figueiredo F (1997) Inflammatory response to calcium hydroxide-based root canal sealers. Journal of Endodontics 23, 86-90.
Spangberg LSW, Barbosa SV, Lavigne GD (1993) AH26 releases formaldehyde. Journal of Endodontics19, 596-8.
Sundqvist G (1990) Endodontic microbiology. In: Spangberg LSW, ed. Experimental Endodontics. Boca Raton, Florida, USA: CRC Press, pp.131-53.
Tagger M, Tagger E (1986) Subcuteneous reactions to implantation of tubes with AH26 and Grossman’s sealers. Oral Surgery, Oral Medicine, Oral Pathology 62, 434-40.
Tagger M, Tagger E (1989) Periapical reactions to calciumhydroxide- containing sealers and AH26 in monkeys. Endodontics and Dental Traumatology 5,139-46.
Taintor J, Biesterfeld R, Valle G (1979) Termination of the root canal filling. Dental Survey 55, 54-9.
Telli C, Serper A, Dogan L, Guc D (1999) Evaluation of the cytotoxicity of calcium phosphate root canal sealers by MTT assay. Journal of Endodontics 25, 811-3.
Vajrabhaya L, Sithisarn P (1997) Multilayer and monolayer cell cultures in a cytotoxicity assay of root canal sealers. International Endodontic Journal 30, 141-4.
Walton RE, Torabinejad M (1989) Principles and Practice of Endodontics, 1st edn. Philadelphia, PA, USA: W.B. Saunders Company, pp. 29-52.
Yesilsoy C, Koren LZ, Morse DR, Kobayashi C (1988) A comparative tissue toxicity evaluation of established and newer root canal sealers. Oral Surgery, Oral Medicine, Oral Pathology 65, 459-67.